V Jornadas de Ecografía de la semFYC

9 y 10 de febrero de 2024

Comunicaciones: Casos clínicos

¿Con o sin tapón? (póster)

Ámbito del caso

Servicio de Urgencias Hospitalarias

Motivos de consulta

Astenia y disnea en paciente oncológico

Historia clínica

Enfoque individual

Mujer de 54 años con cáncer de mama izquierdo localmente avanzado, con mastectomía radical ya realizada y en tratamiento con quimioterapia neoadyuvante, que es derivada a urgencias hospitalarias desde su Centro de Salud por deterioro del estado general y sensación disneica.

Desde hacía dos días comienza con clínica constitucional y deterioro progresivo, sin fiebre ni foco definidos.

En urgencias hospitalarias la auscultación respiratoria y abdominal son normales, no obstante la auscultación cardiaca evidencia disminución generalizada de los tonos cardiacos resultando casi inapreciables.

Ante el cuadro de hipotensión, Se decide realizar ecografía clínica urgente para valoración sospechando la existencia de taponamiento cardiaco.

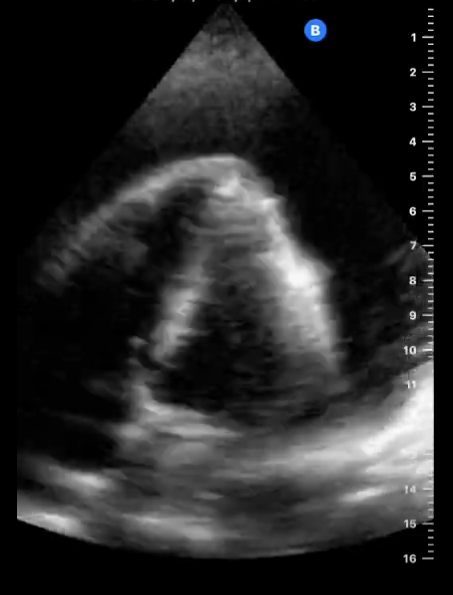
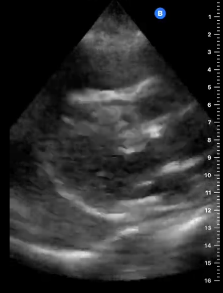
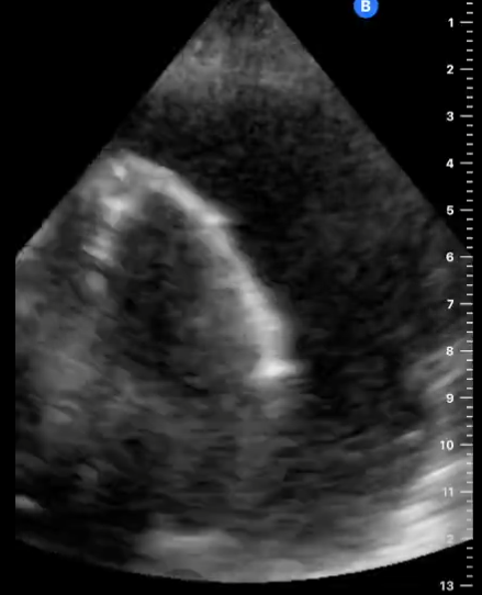
Hallazgos ecográficos

En la ecocardiografía se aprecia latido cardiaco con intercambio de flujos muy disminuido y el miocardio movilizándose en el interior del derrame pericárdico contenido sin taponamiento.

Pruebas complementarias

La radiografía torácica mostró una imagen de corazón en «tienda de campaña» típico de derrame pericárdico, por su parte el electrocardiograma mostraba ondas con bajo voltaje y aunque era rítmico, apenas eran apreciables las ondas P. el TAC de tórax confirmó el diagnóstico de derrame pericárdico.

Juicio clínico, diagnóstico diferencial, identificación de problemas

Derrame pericárdico paraneoplásico / quimiotoxicidad / pericarditis.

Tratamiento y planes de actuación

Dada la situación clínica de la paciente, encontrándose en tratamiento quimioterápico activo y con buena reserva funcional, ingresa en Unidad de Cuidados Intensivos para monitorización constante y realizar pericardiocentesis.

Evolución

Tras estabilización la paciente pasa a planta de Medicina Interna hasta recuperación. El análisis del líquido pericárdico extraído no evidenciaba células tumorales y, sospechando que pudiera ser secundario a quimiotoxicidad, se le cambió la línea de tratamiento oncológico que realizaba hasta ahora.

Conclusiones (y aplicabilidad para la Medicina de Familia)

En este caso tenemos un cuadro de derrame pericárdico con repercusión hemodinámica pero apreciándose latido cardíaco y suficiente contractilidad como para no incurrir en taponamiento cardíaco que hubiera supuesto una emergencia vital para la paciente.
 
 
 
 

Comunicaciones y ponencias semFYC: 2025; Comunicaciones: Casos clínicos. ISSN: 2339-9333

Autores

Tena Santana, Gonzalo
CS de Valverde del Camino
Ortega Hidalgo, Esperanza Macarena
Hospital Comarcal De Riotinto
García López, Antonio
CS de Camas