V Jornadas de Ecografía de la semFYC

9 y 10 de febrero de 2024

Comunicaciones: Casos clínicos

«Doctora, desde hace unos días me falta el aire» (póster)

Ámbito del caso

Servicio de Urgencias

Motivos de consulta

Disnea progrevia de 15 días de evolución.

Historia clínica

Enfoque individual

Varón de 49 años con antecedentes de dislipemia, exfumador, fractura 5º, 6º, 7º y 8º arcos costales izquierdos y fractura de pelvis derecha asociada en accidente laboral hace dos meses.

Acude a urgencias derivado por su médico de Atención Primaria por disnea progresiva desde hace 15 días hasta hacerse de mínimos esfuerzos, junto con aumento del perímetro de la pantorrilla derecha desde hace un mes. A su llegada, buena saturación de oxígeno basal, no trabajo respiratorio, sin datos destacables en la exploración física (no se observa edema en miembros inferiores). Ante exploración tan anodina, se decide realizar ecografía clínica para esclarecer la orientación diagnóstica.

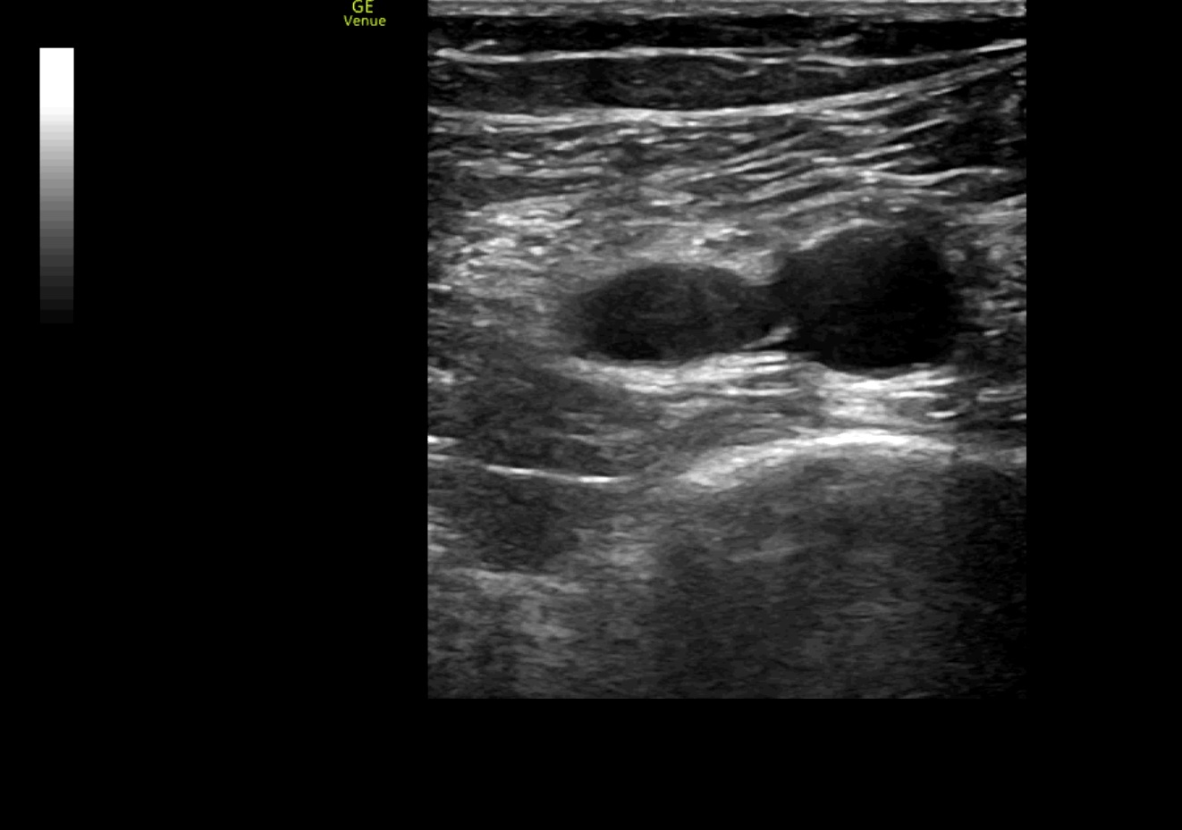
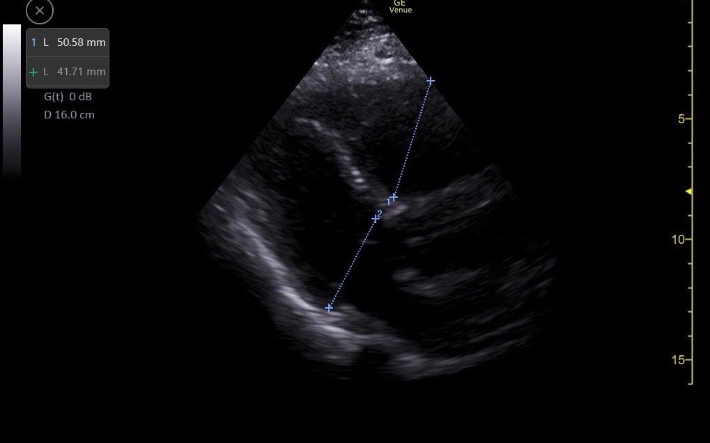
Hallazgos ecográficos

Se realiza ecografía clínica de vasos en miembros inferiores objetivándose un trombo en vena poplítea derecha y ecocardioscopia con dilatación de ventrículo derecho.

Pruebas complementarias

Solicitamos electrocardiograma donde se objetiva taquicardia sinusal a 105 lpm y ondas T negativas en V1 y V2, radiografía de tórax sin alteraciones y analítica sanguínea donde destaca DD 156223. Se completa el estudio realizándose angioTC de arterias pulmonares que es informado como tromboembolismo pulmonar bilateral con afectación de todas las ramas lobares bilaterales con imagen compatible con infarto pulmonar en lóbulo superior izquierdo y signos de sobrecarga cardíaca derecha.

Juicio clínico, diagnóstico diferencial, identificación de problemas

Tromboembolismo pulmonar con sobrecarga de cavidades derechas.

Tratamiento y planes de actuación

Se decide iniciar anticoagulación con enoxaparina e ingreso en en el servicio de Cardiología.

Evolución

En planta de hospitalización, el paciente se mantiene hemodinámicamente estable y asintomático en todo momento, siendo dado de alta finalmente con anticoagulación y cita en consulta de enfermedad tromboembólica y cirugía vascular para seguimiento.

Conclusiones (y aplicabilidad para la Medicina de Familia)

La ecografía clínica puede ser una herramienta de gran utilidad para el diagnóstico de trombosis venosa profunda, al igual que para poder determinar importantes factores pronósticos de un tromboembolismo pulmonar, como en este caso la sobrecarga de cavidades derechas, permitiendo una aproximación diagnóstica de forma rápida antes de realizar pruebas complementarias adicionales. 

 
 
 

Comunicaciones y ponencias semFYC: 2025; Comunicaciones: Casos clínicos. ISSN: 2339-9333

Autores

Vaquero de Julián, Elisa
CS Justicia. Madrid
Vázquez Santiago, Sonia
CS Justicia. Madrid