X Jornadas de Actualización en Medicina de Urgencias y VI Jornadas de Ecografía de la semFYC
6-7-8 de febrero de 2025
Hombre de 57 años acude por dorsolumbalgia de elevada intensidad de inicio súbito al subirse al tractor de un mes de evolución que imposibilita su actividad habitual, asociada a dolor costal izquierdo, e hiporexia en la última semana.
Enfoque individual: antecedentes personales, anamnesis, exploración, pruebas complementarias, etc.
Es fumador de 1 paq/día desde los 8 años. No otros hábitos tóxicos, no presenta alergias medicamentos, únicamente síndrome de piernas inquieta en tratamiento con pramipexol.
En la exploración física destaca un dolor al realizar la bidepstación y dolor a la palpación de apófisis espinosas dorsales D6 hasta L1 e imposibilidad a la movilización a la flexión, extensión y rotación de columna, resto sin alteraciones.
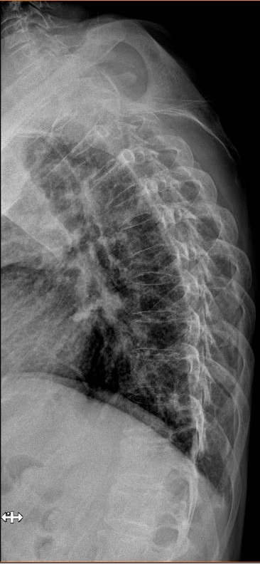
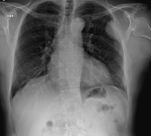
Se realiza radiografía de lumbar, dorsal y destaca chafamiento de D4 y una disminución radiodensidad ósea en todos los cuerpos vertebrales.
Enfoque familiar y comunitario: estudio de la familia y la comunidad (si fuese necesario)
Vive solo. Padre de 3 hijos. Separado. Independiente para las actividades de la vida diaria, combina su trabajo como peluquero y trabajo en el campo.
Juicio clínico, diagnóstico diferencial, identificación de problemas
Juicio clínico es una dorsalgia secundaria proceso oncológico.
Los diagnósticos diferenciales planteados son: Dorsalgia de tipo mecánica, infecciosos o tumorales.
Tratamiento y planes de actuación.
Se inicia tratamiento analgésico iniciando con paracetamol y progresando a escala de opiáceos. Se deriva a urgencias hospitalarias donde se cursan pruebas complementarias.
Evolución
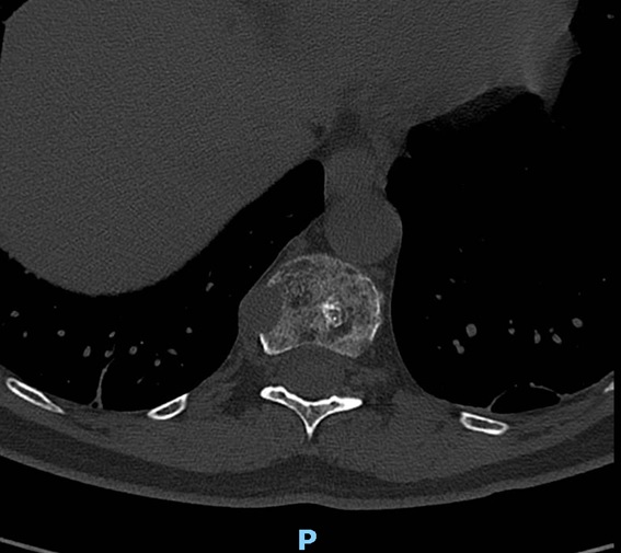
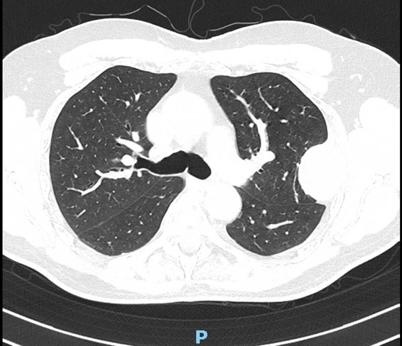
A su llegada a urgencias se realiza analítica complementa y una tomografía computerizada dorsolumbar objetivandose metástasis óseas cervical, dorsal D4, D6, D12 y afectación cuarto arco costal, se decide ingreso para estudio diagnosticándose un mieloma múltiple.
En conclusión, dolores de espalda afecta aproximadamente al 80% de la población en algún momento de su vida, por lo que es el segundo motivo de consulta en atención primaria, no siendo la dorsal la localización más típica. El dolor columna, en el 20% de la patología oncológica, y sabemos que en un 70-80% de los tumores malignos generan metástasis óseas, y de estos 60-80% se localizan en región dorsal, como el mieloma múltiple, aunque su presentación sea atípica.
Por ello la importancia de no obviar los pilares básicos, como es una anamnesis exhausitiva y una buena exploración, que nos permite diferenciar entre un síntoma banal o un signo de alarma que nos orienta a una patología de gravedad.



